
電話でのご予約・お問い合わせはTEL.0285-53-2943
昨年夏に当院で遭遇した症例です。犬の毛色が黒いので、オーナー様も気づくのが遅れてしまったようです。これだけのマダニに吸血されては、いくら体格が大きく体力があっても、とても耐えられません。病院までは何とか自力で歩いて来たようですが、診察室で倒れてしまいました。大量の吸血による貧血で舌の色が薄くなっているのが判りますね。マダニは一度食いついたら2週間は離れずに吸血し続けます。また、血液に寄生するバベシア原虫の媒介でも有名です。近年では、人の重症熱性血小板減少症候群(SFTS)ウイルスの媒介で死亡する人も確認され注目されています。この症例のようにマダニは一度に大量寄生することも珍しくはありません。春先から既にマダニの寄生が始まっています。お散歩から帰ったら充分にブラッシングで確認してあげて下さい。ただ、吸血前のマダニは黒ゴマ程の大きさですので、最初からこんなに大きくはありません。注意深くブラッシングして下さい。そして、1匹でも発見したらすぐにマダニ駆除のご用意をお願いいたします。ただし、ホームセンターやドラッグストアで市販されている製品はほとんど効果ありません。また、お散歩時はオーナー様ご自身もしっかりマダニ防御をしてお出かけ下さい。
当院では、犬猫のマダニ対策に動物病院専用の動物用医薬品『マイフリーガードR』を処方して、月に1回使用して頂いています。
後発製品でコストパフォーマンスに優れており、ばら売りですので価格は以下の通りリーズナブルです!!。
猫用:600円〜 犬用:800円〜
※ オーナー様のマダニ対策は こちら や こちら を参考にして下さい!
若いうちに去勢手術を済ませておくと防げる疾患のひとつです。画像の症例は、16歳の雑種犬ですが、腫瘍が多発してしまい自壊して肛門周囲が汚れ、悪臭もひどくオーナー様が耐えきれなくなり相談をお受けした症例です。術前検査で、肝臓に異常値のデータがあり入院治療にて正常値まで戻ってからの手術になりました。高齢になってからの手術には危険が伴いますので、細心の注意を払いながら実施しました。費用も合計で去勢手術の10倍近くかかってしまいました。
ご覧の画像は、左から術前の画像とそのアップ画像、6カ所の腫瘍切除手術直後、そして1年後の画像です。1年後に予防の時期になり再診時に拝見しましたら、排便障害等の後遺症もなく、跡形無く完治していました。この症例は極端にひどくなってしまった症例ですので、此所までになる前に手術してしまえば術後の管理も楽に行えます。
この症例もそうですが、腫瘍摘出手術時には同時に去勢手術も行います。
なお、この他にも若いうちに去勢手術をしてあげることで防げる疾患として、肛門周囲の疾患として『会陰ヘルニア』等も有ります。また前立腺関連の疾患も起きにくくなります。2歳までに去勢手術を強くお勧め致します。
避妊手術済みの7歳の子です。オーナー様曰く、若い頃から偏食が強くて、主食はジャーキーを何種類も用意しては与えて、そんな食餌管理を何年も続けてきたのだそうです。数年前から、予防接種などでご来院時に体重超過のご指摘をしてきたのですが、オーナー様のお考えが変わらず、ジャーキー中心の生活を続けてきたようです。最近血尿が続くとのことで調べてみたら、『あっ』と驚く結果になっていました。下記の画像は、左から、検査時のレントゲン画像と、摘出した結石の長径及び短径のサイズを表した画像です。レントゲンの画像から、結石の巨大さもさることながら、腰部(背骨の上)皮下脂肪の厚さが体格のすごさを示しています。結石を取り巻く少し厚めのラインは膀胱炎で肥厚した膀胱壁です。
ジャーキーの弊害は、今回のような例以外にも、胆石や胆嚢炎などの胆道疾患:脂肪肝や糖尿病などの代謝性疾患の原因になるとも考えられますので、くれぐれも与えすぎにはご注意下さい。
雄猫に時々見られます。子猫の時期にはよく判りませんが、成長が終わる6〜7ヶ月齢くらいになると気がつくオーナー様もいるようです。去勢手術にご来院時、触診にてご指摘して始めて判明することもしばしばあります。片方の睾丸の位置が問題で、鼠蹊部の皮下に見つかる症例や、腹腔内に完全に潜伏している症例など様々です。猫では稀ですが、腫瘍化してしまう危険が有りますので、オーナー様の了解を得られれば、去勢手術時には必ず両側の睾丸を摘出するようにしています。今回の症例は、右側の睾丸が完全に腹腔内に潜伏していましたので、開腹手術も行いました。無事に見つかり両側の摘出が出来ました。
症例写真は、左から片方の睾丸だけが所定の位置に有る画像。中央は摘出した両方の睾丸で腹腔内に有った睾丸は、未発達で小さいことが判ります。右の画像は、少々痛々しいですが腹部と陰部2カ所の術創です。猫君は1回で済んで良かったと言っていると思います。術後は避妊手術と同様に腹帯を装着して日帰りで退院していただきました。約1週間で腹帯は解除できますのでそれまでは室内で管理して頂きます。
生後7ヶ月時に交通事故に遭い、大腿骨を骨折しました。しかも骨折端が皮膚を突き破り飛び出した状態で連れてこられました。開放性の骨折は汚れの付着があり、無菌的な処置が困難な場合が多く治りにくい症例になります。また、大腿骨の近位端は、大きな筋肉の付着部位である大転子があるため、大変大きな応力がかかり固定が困難な部分で、大変苦労する場合の多い症例です。手術は、ハイクロソフト水で充分に殺菌消毒して実施いたしましたので、深部の化膿など感染兆候は見られませんでしたが、皮膚の損傷が予想外に激しく縫合部位の癒合が遅れました。そして大変活発な性格の子猫で、退院後じっとして居られないらしく、『出して!出して!』と言ったとかで、オーナー様ご家族がケージから出して動かしてしまい、固定部位が固まるまで大変時間がかかってしまいました。一時はもうだめかと思うくらい心配しましたが何とか無事に固まってくれました。最初からずーっとハラハラさせられ、そして最後にホッとした症例です。
画像は、左の2枚が、事故後骨折端を戻して撮った画像、3番目が手術時、右の2枚が術後3ヶ月半で避妊手術時に撮影した画像です。しっかり固定できたので、ピンとワイヤーを除去して一件落着でした。
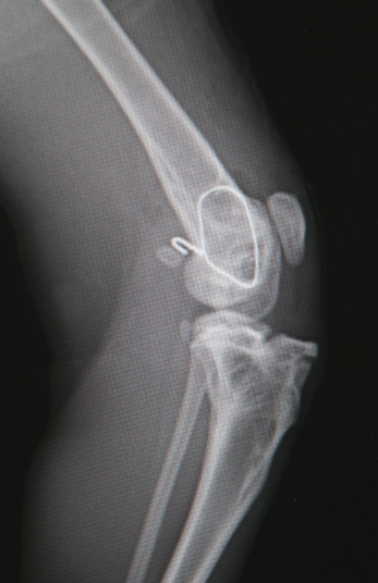
5ヶ月の子猫が交通事故で大腿骨がグシャリと折れています。幼いため、骨の形成が未熟で柔らかいので簡単に折れてしまいます。骨折部は膝関節のすぐ上の非常に固定しにくい部位で、しかも粉砕骨折です。しっかり固定して完全に癒合するには難易度の高い症例です。
画像は、左から受傷時:手術時正面及び側面:術後3ヶ月後ワイヤ除去後の正面及び側面です。発情が来たため避妊手術にご来院時に邪魔になりそうなワイヤーなども除去いたしました。骨折部位はしっかり固まっています。関節と筋肉の拘縮が多少残っていますので、リハビリが必要になります。
室内犬の大部分で問題になっている、歯周疾患の根本原因である歯石の処置です。ご覧の画像は、10歳のダックス犬のお口の中です。このようになるまで10年分の歯石を蓄積してしまいました。こうなると歯石の侵食で歯茎が後退して、歯根が露出してしまいます。処置前の画像では全く判りませんが、処置後の画像から、歯石が取れた歯は表も裏もピッカピカになりましたが、歯齦の後退と歯根の露出が明瞭に判ります。そして歯肉炎の赤く腫れた症状も見られます。痛そうですね!小さな歯は、ぐらつき始めています。こうなってしまっては、元の状態に戻すことは困難と言えます。ぜひとも、若いうちから定期的に歯周のお掃除の習慣をつけていただきたいものです!
マウスケアのご案内は FAQで詳しく解説しています
あまり聞いたことのない名前の寄生虫ですが、西日本や九州に報告の多い症例です。
この虫は、目の周りにうっとうしく纏わり付いてくる小バエ『メマトイ』によって媒介される寄生虫です。
関東での報告もあるとのことですが、当院でも症例がありましたのでご紹介いたします。
オーナー様ご自身が発見されてご来院いただきました。症状は結膜炎と同じ、充血:目やに:痒みなどで目を擦ってしまって角膜に傷が付いてしまうこともあります。今回は猫の左目が充血して、瞼の裏側に動く虫を発見されたとのことです。
虫の除去を急ぎ、術前の画像を撮りはぐってしまいましたので、症例写真を載せました。採取できた虫の画像は実物で、約1〜2cm位の白い半透明に近い糸状の大変細い虫でした。寄生虫を除去して、結膜炎の治療に点眼薬を処方致しました。それと再感染の防止と残りの虫体が心配ですので、すべての対応としてレボリューションをお出し致しました。
野外の猫との接触が原因で感染いたします。初期には、頭部,特に耳根部あたりから脱毛:痂皮(かさぶた):雲脂(ふけ)などの病変が見られ、掻痒(かゆみ)がひどく、自虐性の傷になることも多いです。放置すると下の3枚の写真のように頭部から首、背中へと病変が進行して大変やっかいなことになります。オーナー様もこのダニに刺されてかゆみが止まらず、皮膚科を受診しなくてはならなくなってしまいます。ただ、このダニは大変小さくて目に見えませんので顕微鏡検査が必須です。頭部皮膚に異常を感じ、おかしいと思った時点でまず検査をお勧めいたします。
ちなみに、耳の中(外耳道)に寄生するミミダニは全く別のダニです。ミミダニに寄生されると耳の中が真っ黒になるほど耳垢が貯まり、こびりついて取れにくいので治療も大変です。しかし、痒みは疥癬ほどひどくないので、気がつかないオーナー様も見受けます。こちらも放置してしまうと治りにくくなりますので、早期治療が大切です。さいわい、どちらのダニも治療には特効薬がありますので、早期の適切な治療で2〜3週間の経過で完治いたします。
飼い主不明の交通事故に遭った子猫の上腕骨骨折です。この他に大腿骨骨折、脊椎骨折などもあり最悪の状態でしたが、上腕骨と大腿骨の整復固定を実施しました。上腕骨は、術前画像の通り複雑に折れた斜骨折で簡単にはいきませんでしたが、ワイヤリングと創外固定法を組み合わせて2重に固定しました。右側の2枚は術後1ヶ月と2年目の画像です。画像の通り何とか無事に固まってくれました。術後2年目の画像では、すっかり正常な形に再形成されています。現在は脊椎骨折の後遺症で、後躯麻痺と排尿排便障害があるため、膀胱と結腸圧迫により1日2回排泄補助をして、元気な当院の一員として入院室を賑わせています。
生後5ヶ月の時に車に撥ねられてしまいました。気胸と胸腔内出血もあり、事故から4日後になって容態が安定してからの手術になりました。膝関節のすぐ上の非常に固定しにくい部位でしたが、手術用電動ドリルの威力で、短時間で非常にうまく固定することが出来ました。幸い温和しい性格の子でしたので、オーナー様の管理も比較的順調に出来、術後2ヶ月で避妊手術の時にピンも抜けました。
JR宇都宮線間々田駅付近の線路を渡っていて事故に遭ってしまい、フェンスを越えられず、鳴いているところを線路際のお宅に保護されました。幸い当院のかかりつけのお宅だったので、緊急で搬入されましたが、出血多量で瀕死の状態でした。当院の栄養十分の居候猫から血液を提供してもらい輸血と点滴治療で一命を取り留め、状態が安定したところで緊急手術しました。大手術なのでペインコントロールも十分に行い、両後肢膝関節から下と尾端の轢断部分を切除して、縫合しました。当の猫君は元気になってしまうと安静が保てず、後肢の縫合部分が何回もの開き縫合方法の工夫や包帯法のとても有意義な経験をさせてくれました。結局1ヶ月以上入院してしまいましたが、現在は保護されたお宅で、落ち着いて暮らしているそうです。
11歳の長毛雑種猫の『みいちゃん』で来院時には腹部が破裂しそうな勢いで膨満していました。エコー検査で子宮蓄膿症の診断の元、開腹してみてびっくりでした。片方の子宮が分岐部付近で捻れていて、今にもちぎれんばかりの状態でした。無事に全摘出できてほっとしました。予想通り中身は、血膿で充満していました。やはり、若いうちに避妊手術を済ませておけば、避けられた症例です!
ちなみに、当院で避妊手術を済ませたお宅での蓄膿症の発症例は未だかつて1例も有りません。他所で言われているような発症例があるとすれば、術式乃至は、医療機材の使用法に何か問題があるのではないかと思われます。
ネコちゃんの避妊手術の縫合を終えたところです。生後5〜6ヶ月位の若齢で、肥満傾向が無いスリムな子は、ご覧の通り術創も1cm前後で3針縫合します。年齢が行って肥満がある場合は、皮下脂肪が厚く、腹腔内脂肪も増えるため、術野が大変深くなってしまうので傷口も多少大きくなります。腹腔内の血管はすべて凝固シールド止血しますので、糸は使いません。また、腹筋腹膜と皮膚は吸収糸を使用しますので、抜糸もありません。術後は少々大げさですが、腹帯で完全に保護してお返ししています。約1週間で傷は完治いたします。
詳しくは こちら
左から、生後2.5ヶ月の術前の画像:手術直後の画像:術後5ヶ月ころの全身像及び耳のアップ画像です。ご覧の通り、全く別の犬になった印象を感じられることと思います。しかし、この処置には術後1ヶ月から3ヶ月の期間、病院の指示通りに術後管理していただくなど、整形した耳の形を固定する時間と労力が必要でこのように立派に完成するには、オーナー様の全面的なご協力が不可欠です。この犬種のほか、ボクサー:ミニチュアピンシェル:ミニチュアシュナウツァーなどの犬種で断耳整形することがありますが、最近はスタッフォードシャー・ブルテリアなどの依頼も増えました。※現在断耳の手術は行っておりません※
〒329-0511
栃木県下野市石橋124-8
TEL 0285-53-2943
FAX 0285-52-0646
email info@wan1wan.biz